L’asthme sévère est caractérisé par le remodelage des bronches. Les voies aériennes se trouvent encore plus obstruées que dans le cas d’un asthme « classique ». Devant l’impasse thérapeutique, une équipe de chercheurs de l’INSERM a testé l’efficacité clinique du Gallopamil, prescrit dans le cadre de certaines pathologies cardiaques. Résultat, contrairement au traitement de référence, le médicament se révèle capable de réduire la taille du muscle lisse bronchique et de diminuer le nombre de crises prolongées.
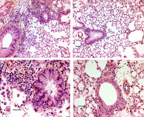
Entre 1% et 3% de la population mondiale souffre d’asthme sévère. « Il est caractérisé par une gêne respiratoire permanente, une activité physique limitée, des crises nocturnes fréquentes, et des crises d’asthmes prolongées », explique les chercheurs de l’INSERM (Centre de Recherche Cardio-thoracique de Bordeaux). « L’obstruction des bronches est alors à l’origine de la diminution importante de la capacité respiratoire. Cette obstruction est due à un remodelage des voies aériennes et notamment à l’augmentation de l’épaisseur du muscle lisse bronchique (MLB) qui les tapisse. »
Les chercheurs – qui avaient déjà montré son efficacité in vitro – ont mesuré in vivo l’effet anti-prolifératif du gallopamil sur 31 patients souffrant d’asthme sévère. Ainsi, les données montrent une réduction significative du MLB chez les asthmatiques traités par rapport au groupe placebo. En conséquence, il a permis une diminution significative de l’épaisseur de la paroi bronchique.
Tout aussi important, il apparaît alors que les patients sous traitement ont connu, dans les 3 mois qui ont suivi, moins de crises prolongées que le groupe placebo. Reste désormais à tester le Gallopamil sur de plus longues périodes…











